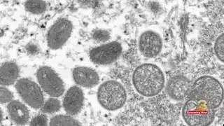
LIVE HK - Detailed coverage of First Monkeypox Death In U S Confirmed Rush Hour.
Watch the video above for the full report.
LIVE HK - Detailed coverage of First Monkeypox Death In U S Confirmed Rush Hour.
Watch the video above for the full report.
Situs ini menyajikan informasi tercepat mengenai Live Draw HK, Live Draw SDY, dan Live Draw Toto Macau. Kami mengupdate data secara realtime langsung dari pusat pools resmi.
Dapatkan juga prediksi jitu 2D, 3D, 4D serta syair togel akurat setiap harinya. Analisa mendalam dari tim kami membantu Anda menentukan angka main yang tepat.
